Ir al contenido
Inicio
Nosotros
Servicios
Reviews
Contacto
Whatsapp: +593 98 341 11 42
Whatsapp: +593 98 341 11 42
Inicio
Nosotros
Servicios
Reviews
Contacto
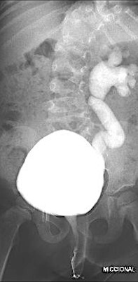
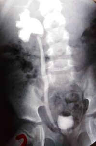
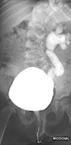
Cirugía Urológica
Volver Inicio